Up 白血球 作成: 2022-03-15
更新: 2022-03-15


Wikipedia「白血球」から引用
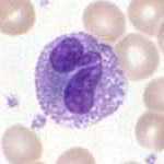
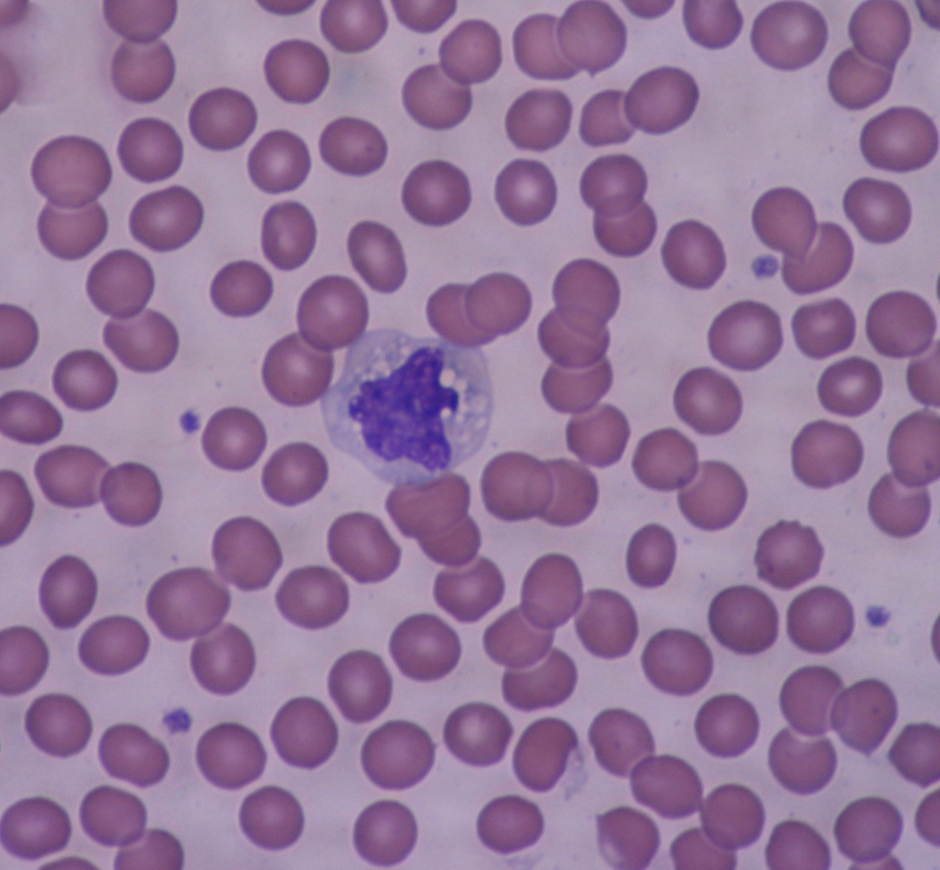
種類 顕微鏡像 イメージ図 存在割合 直径 主な役割 核型 顆粒 寿命
好中球 50〜70% 12〜15µm
  • 細菌類の捕食・殺菌
桿状から分葉 中性色素でピンクに染まる殺菌性顆粒 血液中で1日以内、組織内で数日
好酸球 2〜5% 13〜17µm
  • 寄生虫や虫卵を傷害する
  • アレルギー反応を引き起こしたり抑制したりする
2分葉 エオジン親和性の橙黄色に染まる均質・粗大な顆粒 好中球より少し長い
好塩基球 1%以下 10〜15µm
  • アレルギー反応を引き起こしていると考えられるが詳細は不明
不定形 塩基性色素により暗紫色に染まる大型の顆粒
リンパ球 20〜40% 6〜15µm

B細胞: 抗体(免疫グロブリン)産出

T細胞

  • ヘルパーT細胞:Bリンパ球に働きかけて形質細胞に分化させ、抗体(免疫グロブリン)産出をさせる。
  • サプレッサーT細胞:Bリンパ球の免疫グロブリン産生を抑制する。
  • キラーT細胞:腫瘍細胞・ウイルス感染細胞を傷害する。

NK細胞

  • ナチュラルキラー細胞:腫瘍細胞・ウイルス感染細胞を傷害する。
球型 ないものが多い、大型の顆粒を持つ細胞はNK細胞に多い 週〜年
単球 3–6% 20〜30µm 単球は血液内に存在し、組織内に移動するとマクロファージか樹状細胞・破骨細胞に変化する そら豆型 なし 数時間から数日
マクロファージ 20〜50µm 寿命を迎えた赤血球・白血球・血小板や裸核・各種細胞などの細胞残屑と病原体の食作用(抱き込みと消化)、およびリンパ球に対する抗原提示、リンパ球の刺激、骨髄において幼若な赤血球の育成など 数日〜数箇月、ときには数年
樹状細胞 Tリンパ球を動かす抗原提示 マクロファージと同じ単球系細胞
注:画像の色および顆粒の色はギムザ染色したもの。
  実際の血液中の白血球は,無色半透明。

  • 白血球の数
    • 個人差が大きい
    • 「3500〜9500個/mm3


  • 参考ウェブサイト